في إنجاز غير مسبوق بالكويت ووسط إجراءات طبية دقيقة

مركز صباح الأحمد للقلب ينجح في تبديل الصمام الأورطي لمريض بعمر.. 101 سنة

تصغير
تكبير

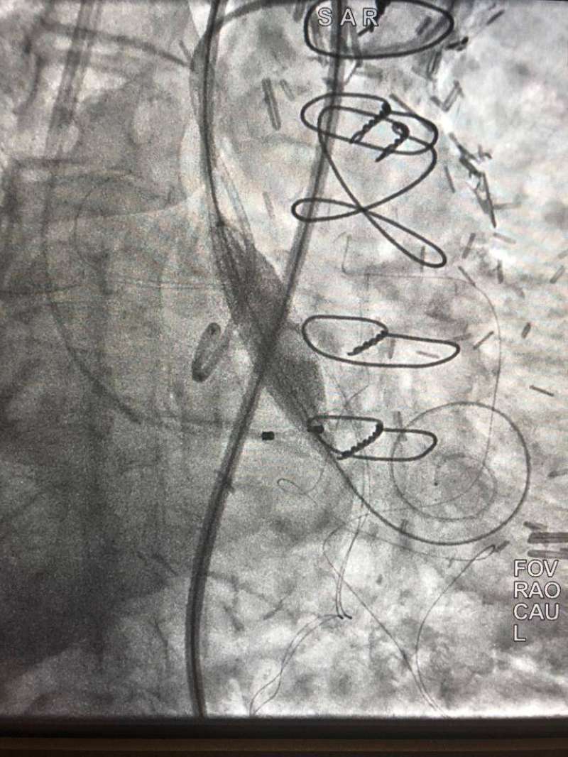
في إنجاز طبي غير مسبوق بدولة الكويت ووسط اجراءات طبية دقيقة نجح فريق طبي في مركز صباح الأحمد للقلب يضم استشاري القلب الدكتور نادر عيسى العسعوسي واختصاصي أول قلب الدكتور أحمد سعيد طه في إجراء عملية تبديل صمام أورطي (TAVI) عن طريق القسطرة لمريض يبلغ من العمر 101 سنة.

ويعتبر ما حدث إنجازاً غير مسبوق ليس من حيث درجة تعقيد العملية أو عمر المريض المتقدم ولكن لإجراء تبديل الصمام بدون استخدام صبغة للحفاظ على وظائف الكلى وهو ما يمثل أيضا اجراء طبيا غير مسبوق، حيث يتم في مثل هذه الحالات استخدام الصبغة لتسهيل إجراء عملية تبديل الصمام التي زاد من درجة صعوبتها و تعقيدها معاناة المريض من ضيق شديد بالصمام الأورطي وفشل عضلة القلب وقصور مزمن بشرايين القلب ووظائف الكلي، وتمدد بالشريان الأبهر في منطقة البطن (abdominal aortic aneurysm with mural thrombus).

وقد استغرقت العملية نحو ساعة وسط إجراءات طبية دقيقة بالنظر لظروف الحالة وتحدياتها بالغة التعقيد؛ حيث بذل فيها الفريق الطبي جهوداً تستحق التقدير وجديرة الثناء، وقد تماثل المريض للشفاء وأصبح بحالة جيدة مستقرة.

الأكثر قراءة
يومي
اسبوعي