أمراض الربيع «6» / حالات الإصابة بميكروب المرض تكثر هذه الأيام وتنتشر بصورة وبائية كل عامين أو أربعة
السعال الديكي... أخطر أمراض الربيع
فوائد صحية عديدة للشاي
الرياضة تؤخر مظاهر الشيخوخة والوهن
السعال الديكي يكون خطيراً حينما يصيب حديثي الولادة والرضع
السعال الديكي أخطر أمراض الربيع
الالتزام بمواعيد التطعيم حماية من السعال الديكي
الالتهاب الشعبي والرئوي من مضاعفات السعال الديكي
| بقلم د. أحمد سامح |
الدراسات السابقة تناولت أهم الفيروسات التي تنتشر في فصل الربيع وينتج عنها الاصابة بأمراض معينة. وتناولنا بالتفصيل فيروس مرض الحصبة والنكاف والجديري المائي والهربس العصبي «الحلى الناري - الحزام الناري» وأوضحنا طريقة انتقال العدوى والأعراض لهذه الأمراض ومضاعفاتها وطرق العلاج ووسائل الوقاية والتطعيمات اللازمة للوقاية من الاصابة مع التشديد على الالتزام بمواعيد التطعيمات في اوقاتها المحددة.
واليوم نتناول أحد أخطر أمراض الربيع شديدة العدوى الا وهو مرض السعال الديكي.
ويسبب هذا المرض بكتريا وليس فيروسا يعرف باسم بورتدلا برتسس «Bortedella Pertussis» وتكثر حالات الاصابة بهذا المرض في هذه الأيام أي نهاية الشتاء وبداية الربيع كما انه ينتشر بصورة وبائية كل عامين او اربعة أعوام.
وبخلاف امراض مثل الحصبة والنكاف والتي يولد الطفل مكتسباً مناعة ضدها من أمه خلال الستة أشهر الأولى من العمر فإن الطفل يولد من دون مناعة ضد السعال الديكي وذلك لعدم انتقال المناعة من الأم للوليد عبر المشيمة اثناء الحمل ولهذا يمكن ان يصيب السعال الديكي الطفل حديثي الولادة والطفل الرضيع وفي هذه الحالة يكون المرض خطيراً.
ومضاعفات السعال الديكي يتأخر ظهورها إلى نحو 5 أسابيع وهي قد تكون خطيرة وتسبب الإعاقة والتخلف العقلي لا قدر الله. لذا عزيزي القارئ عزيزتي الأم يجب الالتزام بمواعيد التطعيمات حماية لأطفالنا من هذا المرض الخطير.
السعال الديكي من أخطر أمراض الربيع تنتقل العدوى بصورة وبائية كل عام أو أربعة أعوام.
والعدوى بهذا المرض سببها بكتريا وليس فيروساً يدعى «بورتدلابرتسس».
فترة حضانة المرض
تنتقل العدوى بالسعال الديكي بسرعة مذهلة وبطريقة مباشرة عن طريق الرذاذ المتطاير من حلق وأنف المريض اثناء سعاله.
وتصل العدوى إلى ذروتها عند حدوث التهاب الأغشية المخاطية التي تستمر نحو خمسة أسابيع.
وفترة حضانة المرض تمتد من 7 إلى 10 أيام وهي الفترة من بداية دخول الميكروب إلى الجسم عند التعرض للعدوى وحتى ظهور أول الأعراض المرضية.
أعراض السعال الديكي
السعال المصاحب للسعال الديكي يشبه في الأيام الأولى السعال المصاحب لأي التهاب في الممرات الهوائية ولكن بعد أيام يصبح جافاً ومهيجاً خصوصاً اثناء الليل. وبعد ذلك يأتي السعال في صورة شهقات إلى درجة يصبح الطفل فيها في حال سعال دائم اثناء حركة التنفس الواحدة.
مهاجمة السعال المريض تتم في ايقاع منتظم جداً فقد يهاجم السعال الطفل عندما لا يكون مستعداً له ولا يترك له الوقت حتى يتنفس وهنا لا بد من التعامل مع الطفل بطريقة خاصة جداً ذلك ان السعال الذي يسببه هذا المرض يأتي في صورة شهقات لأن المريض يقوم بعملية التنفس في الوقت الذي تكاد تكون فيه الحنجرة مغلقة تماماً فيظهر التقلص في العضلات ولهذا السبب يصدر من الصدر صوت مثل صوت الديك عند التنفس.
ونوبات السعال تلك قد تصيب الطفل اثناء الليل ما يصيبه بالخوف لذا لا بد من ملازمته بصفة مستديمة لتقديم الرعاية والطمأنينة له.
بعد ذلك تخف حدة نوبات السعال المتكرر وتقل تدريجياً وينتج عن ذلك تحسن ملحوظ في الحالة العامة للطفل وقد يحدث بعد أشهر عدة من شفاء الطفل ان يصاب بنزلة برد يصاحبها سعال تشنجي يكون له مواصفات نوبات السعال الديكي نفسها الا ان هذا ليس مدعاة للقلق لأن هذه الأعراض تكون عارضة وتختفي نهائياً بعد فترة وجيزة.
علاج السعال الديكي
تجب رعاية الطفل وملازمته بصفة مستمرة ولا بد أن يكون طعامه خفيفاً سهل الهضم ليناً ويعطي كمية قليلة من السوائل بعد نوبة القيء حتى يستطيع جسمه ان يمتص ولو قليلاً من الطعام.
ومن المهم تهوية المكان الذي يتواجد فيه الطفل حتى يتجدد الهواء ويتوافر الأوكسجين النقي المفيد لتحسين حالته. ويستخدم الطبيب المعالج المضادات الحيوية المناسبة أو مصل الأجسام المناعية «الأجسام المضادة» اذا كان الطفل يعاني من ضعف شديد او امراض اخرى أو يتناول ادوية تثبيط جهاز المناعة.
مضاعفات السعال الديكي
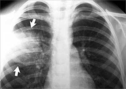
من مضاعفات السعال الديكي الاصابة بالالتهاب والالتهاب الرئوي خصوصاً بعد فترة تتراوح بين ثلاثة إلى خمسة اسابيع من بداية المرض ويكون مصحوباً بارتفاع شديد في درجة الحرارة مع زرقة وشحوب في الوجه وصعوبة في التنفس مع ازدياد في ضربات القلب وأحياناً حدوث تشنجات.
وتلك التشنجات تصيب الأطفال الصغار بشكل خاص وتظهر اثناء نوبات السعال المفاجئة.
ومن مضاعفات السعال الديكي التهاب الدماغ «المخ» الذي يظهر على شكل تشنجات عامة مع فقدان الوعي واضطرابات في حركة العضلات.
التطعيم ضد السعال الديكي
حتى نحمي أطفالنا الصغار من ذلك المرض ومن مضاعفاته الخطيرة يمكننا بطريقة سهلة وآمنة اعطاءه التطعيم الخاص بالسعال الديكي وهو من التطعيمات الالزامية في دولة الكويت ويعطى لكل الأطفال في صورة التطعيم الثلاثي ضد الدفتريا والتيتانوس والسعال الديكي.
ويتم ذلك على ثلاث جرعات تبدأ مع نهاية الشهر الثاني ثم نهاية الشهر الرابع ثم نهاية الشهر السادس ويجب الا تقل الفترة بين التطعيمين عن شهر ولا تزيد على شهرين ثم يعطى الطفل جرعات منشطة عندما يصبح عمره عاما ونصف العام وحتى ثلاثة أعوام.
ويجب التنبيه على عدم اعطاء الطفل التطعيم اذا كان الطفل قد أصيب بتشنجات عصبية او اصيب بمرض في الجهاز العصبي او يكون لديه الاستعداد للاصابة بالصرع.
المشي يؤخر مظاهر الشيخوخة
أظهرت نتائج دراسة علمية وطبية ان ممارسة التمارين الرياضية بما فيها رياضة المشي تؤدي إلى تأخير معظم حالات الوهن ومظاهر الشيخوخة التي تهاجم الانسان بعد تجاوز مرحلة الشباب وبعد بلوغ سن الاربعين من العمر. وأكدت نتائج الدراسة التي اجرتها نقابة الاطباء الاردنية ان ممارسة الرياضة الخفيفة خصوصا رياضة المشي وبشكل منتظم وبمعدل نصف ساعة يوميا تسهم في تأخير الشيخوخة بنسبة جيدة.
وأشارت نتائج الدراسة إلى ان التمارين الرياضية المعتدلة يوميا تسهم في الفوائد الصحية الآتية:
• تحسين وظيفة القلب والجهاز التنفسي.
• زيادة قوة العضلات في اليدين والقدمين والبطن والاكتاف
• كما تزيد في متانة وصلابة العظام.
• وتبعد مرض الكآبة وتقي من مرض الزهايمر «الخرف»
• كما تؤدي ممارسة الرياضة إلى تحسين المظهر العام وصحة البشرة خصوصا بشرة الوجه فهي تزيد من كمية الدم والاوكسجين إلى الوجه والرأس.
• تمنح الجسم الاستدارة والتناسق وتبرز مفاتن الانثى وتزيدها جمالا.
• تزيل حالة العصبية عن الشخص الممارس للرياضة والمشي.
• ثبت علميا ان المشي رياضة العظماء.
الشاي الأخضر يحمي القلب ويقوي المناعة
كل انواع الشاي «الأخضر والاسود» مستخرجة من نبات واحد هو «camellia simensis» الفرق في طريقة التجهيز، فالشاي «الاخضر لا يدخل في عملية «التخمير» ولذلك المكونات الجوهرية النشطة لا تتغير في هذا العشب».
واوراق نبات الشاي تستخدم كمشروب اجتماعي وكعلاج ويحتوي الشاي الاخضر على زيوت طيارة وفيتامينات ومعادن ومادة الكافيين.
لكن المادة الاساسية المكونة للشاي الاخضر هي «البولي فينول» وهي المسؤولة عن تحسين الصحة.
فهو يقلل من الكوليسترول الضار ويزيد من الكوليسترول المفيد وكذلك يقلل من التصاق الصفائح الدموية بعضها لبعض وبذلك يحمي من الاصابة بأمراض القلب والشرايين ولكنها دراسات اولية حتى الآن.
ودراسات عديدة تقول ان مادة «البولي فينول» الموجودة في الشاي الاخضر تحمي من الاصابة بالسرطانات.
وكذلك تقول ان مادة «البولي فينول» تنشط جهاز المناعة وبذلك تزيد من مقاومة الجسم للامراض.
هل تعلم؟
نظارات تكنولوجية لمساعدة المكفوفين
تم تصميم العكاز الإلكتروني في الماضي القريب لمساعدة المكفوفين في اكتشاف أقرب الأجسام التي تواجههم.
فمن العكاز تنطلق اشارة ستيزيو سمعية لتحذير المكفوف من توقع العقبات أمامه.
إنما لا يستطيع هذا العكاز التمييز بين الأجسام الثابتة وتلك المتحركة، إذاً فإن له منافع تعادل سيئاته رغم فائدته الـــعملية الحسنة.
في أي حال ثمة طريقة تكنولوجية أخرى لمواجهة طبيعة العقبات والأجسام الموجودة أمام المكفوفين اليوم، ابتكر الخبراء في شركة فيليبس الهولندية للإلكترونيات نظارات مزودة بكاميرا ومعجلات «أجهزة لقياس التعاجل معروفة بالانكليزية باسم Accelerometers» قادرة على التحري عن أي جسم متحرك حول المكفوف.
هذا وتم وصل هذه النظارات إلى كمبيوتر محمول يحمله المكفوف معه خارج المنزل يقوم بمسح أي جسم يدخل في إطار الرؤية المتاحة لهذه النظارات بهدف كشف النقاب إذا ما كان الجسم أمام المكفوف متحركاً أم ثابتاً.
خطر سن اليأس في الرجال
كشفت دراسة فرنسية حديثة ان «سن اليأس» المؤشر لنهاية فترة الخصوبة والقدرة على الإنجاب قد يكون ظاهرا لا تنحصر في النساء فقط، بل من المحتمل أن يمتد أثرها للرجال الذين تتراجع قدرتهم في هذا الاطار بصورة كبيرة مع تجاوزهم العقد الرابع من العمر.
وأشارت الدراسة إلى ان أكثر من 12 ألف حالة كانت تتابعها أخيرا لازواج يعانون العقم أظهرت مسؤولية الرجال عن ضعف الخصوبة في نصف الحالات وأكدت ان تقدم العمر في الزوج قد يؤدي إلى انجاب أطفال عرضة للاصابة بأمراض مزمنة.
وخلصت الدراسة التي نشرت أخيراً إلى ان الاعتقاد الذي كان سائداً لدى الرجال لجهة ان سن اليأس يقتصر على النساء في أواخر العقد الثالث من عمرهن وأوائل العقد الرابع وان الذكور في مأمن من تقدم الزمن بخصوبتهم مفهوم مغلوط علمياً.
الدراسات السابقة تناولت أهم الفيروسات التي تنتشر في فصل الربيع وينتج عنها الاصابة بأمراض معينة. وتناولنا بالتفصيل فيروس مرض الحصبة والنكاف والجديري المائي والهربس العصبي «الحلى الناري - الحزام الناري» وأوضحنا طريقة انتقال العدوى والأعراض لهذه الأمراض ومضاعفاتها وطرق العلاج ووسائل الوقاية والتطعيمات اللازمة للوقاية من الاصابة مع التشديد على الالتزام بمواعيد التطعيمات في اوقاتها المحددة.
واليوم نتناول أحد أخطر أمراض الربيع شديدة العدوى الا وهو مرض السعال الديكي.
ويسبب هذا المرض بكتريا وليس فيروسا يعرف باسم بورتدلا برتسس «Bortedella Pertussis» وتكثر حالات الاصابة بهذا المرض في هذه الأيام أي نهاية الشتاء وبداية الربيع كما انه ينتشر بصورة وبائية كل عامين او اربعة أعوام.
وبخلاف امراض مثل الحصبة والنكاف والتي يولد الطفل مكتسباً مناعة ضدها من أمه خلال الستة أشهر الأولى من العمر فإن الطفل يولد من دون مناعة ضد السعال الديكي وذلك لعدم انتقال المناعة من الأم للوليد عبر المشيمة اثناء الحمل ولهذا يمكن ان يصيب السعال الديكي الطفل حديثي الولادة والطفل الرضيع وفي هذه الحالة يكون المرض خطيراً.
ومضاعفات السعال الديكي يتأخر ظهورها إلى نحو 5 أسابيع وهي قد تكون خطيرة وتسبب الإعاقة والتخلف العقلي لا قدر الله. لذا عزيزي القارئ عزيزتي الأم يجب الالتزام بمواعيد التطعيمات حماية لأطفالنا من هذا المرض الخطير.
السعال الديكي من أخطر أمراض الربيع تنتقل العدوى بصورة وبائية كل عام أو أربعة أعوام.
والعدوى بهذا المرض سببها بكتريا وليس فيروساً يدعى «بورتدلابرتسس».
فترة حضانة المرض
تنتقل العدوى بالسعال الديكي بسرعة مذهلة وبطريقة مباشرة عن طريق الرذاذ المتطاير من حلق وأنف المريض اثناء سعاله.
وتصل العدوى إلى ذروتها عند حدوث التهاب الأغشية المخاطية التي تستمر نحو خمسة أسابيع.
وفترة حضانة المرض تمتد من 7 إلى 10 أيام وهي الفترة من بداية دخول الميكروب إلى الجسم عند التعرض للعدوى وحتى ظهور أول الأعراض المرضية.
أعراض السعال الديكي
السعال المصاحب للسعال الديكي يشبه في الأيام الأولى السعال المصاحب لأي التهاب في الممرات الهوائية ولكن بعد أيام يصبح جافاً ومهيجاً خصوصاً اثناء الليل. وبعد ذلك يأتي السعال في صورة شهقات إلى درجة يصبح الطفل فيها في حال سعال دائم اثناء حركة التنفس الواحدة.
مهاجمة السعال المريض تتم في ايقاع منتظم جداً فقد يهاجم السعال الطفل عندما لا يكون مستعداً له ولا يترك له الوقت حتى يتنفس وهنا لا بد من التعامل مع الطفل بطريقة خاصة جداً ذلك ان السعال الذي يسببه هذا المرض يأتي في صورة شهقات لأن المريض يقوم بعملية التنفس في الوقت الذي تكاد تكون فيه الحنجرة مغلقة تماماً فيظهر التقلص في العضلات ولهذا السبب يصدر من الصدر صوت مثل صوت الديك عند التنفس.
ونوبات السعال تلك قد تصيب الطفل اثناء الليل ما يصيبه بالخوف لذا لا بد من ملازمته بصفة مستديمة لتقديم الرعاية والطمأنينة له.
بعد ذلك تخف حدة نوبات السعال المتكرر وتقل تدريجياً وينتج عن ذلك تحسن ملحوظ في الحالة العامة للطفل وقد يحدث بعد أشهر عدة من شفاء الطفل ان يصاب بنزلة برد يصاحبها سعال تشنجي يكون له مواصفات نوبات السعال الديكي نفسها الا ان هذا ليس مدعاة للقلق لأن هذه الأعراض تكون عارضة وتختفي نهائياً بعد فترة وجيزة.
علاج السعال الديكي
تجب رعاية الطفل وملازمته بصفة مستمرة ولا بد أن يكون طعامه خفيفاً سهل الهضم ليناً ويعطي كمية قليلة من السوائل بعد نوبة القيء حتى يستطيع جسمه ان يمتص ولو قليلاً من الطعام.
ومن المهم تهوية المكان الذي يتواجد فيه الطفل حتى يتجدد الهواء ويتوافر الأوكسجين النقي المفيد لتحسين حالته. ويستخدم الطبيب المعالج المضادات الحيوية المناسبة أو مصل الأجسام المناعية «الأجسام المضادة» اذا كان الطفل يعاني من ضعف شديد او امراض اخرى أو يتناول ادوية تثبيط جهاز المناعة.
مضاعفات السعال الديكي
من مضاعفات السعال الديكي الاصابة بالالتهاب والالتهاب الرئوي خصوصاً بعد فترة تتراوح بين ثلاثة إلى خمسة اسابيع من بداية المرض ويكون مصحوباً بارتفاع شديد في درجة الحرارة مع زرقة وشحوب في الوجه وصعوبة في التنفس مع ازدياد في ضربات القلب وأحياناً حدوث تشنجات.
وتلك التشنجات تصيب الأطفال الصغار بشكل خاص وتظهر اثناء نوبات السعال المفاجئة.
ومن مضاعفات السعال الديكي التهاب الدماغ «المخ» الذي يظهر على شكل تشنجات عامة مع فقدان الوعي واضطرابات في حركة العضلات.
التطعيم ضد السعال الديكي
حتى نحمي أطفالنا الصغار من ذلك المرض ومن مضاعفاته الخطيرة يمكننا بطريقة سهلة وآمنة اعطاءه التطعيم الخاص بالسعال الديكي وهو من التطعيمات الالزامية في دولة الكويت ويعطى لكل الأطفال في صورة التطعيم الثلاثي ضد الدفتريا والتيتانوس والسعال الديكي.
ويتم ذلك على ثلاث جرعات تبدأ مع نهاية الشهر الثاني ثم نهاية الشهر الرابع ثم نهاية الشهر السادس ويجب الا تقل الفترة بين التطعيمين عن شهر ولا تزيد على شهرين ثم يعطى الطفل جرعات منشطة عندما يصبح عمره عاما ونصف العام وحتى ثلاثة أعوام.
ويجب التنبيه على عدم اعطاء الطفل التطعيم اذا كان الطفل قد أصيب بتشنجات عصبية او اصيب بمرض في الجهاز العصبي او يكون لديه الاستعداد للاصابة بالصرع.
المشي يؤخر مظاهر الشيخوخة
أظهرت نتائج دراسة علمية وطبية ان ممارسة التمارين الرياضية بما فيها رياضة المشي تؤدي إلى تأخير معظم حالات الوهن ومظاهر الشيخوخة التي تهاجم الانسان بعد تجاوز مرحلة الشباب وبعد بلوغ سن الاربعين من العمر. وأكدت نتائج الدراسة التي اجرتها نقابة الاطباء الاردنية ان ممارسة الرياضة الخفيفة خصوصا رياضة المشي وبشكل منتظم وبمعدل نصف ساعة يوميا تسهم في تأخير الشيخوخة بنسبة جيدة.
وأشارت نتائج الدراسة إلى ان التمارين الرياضية المعتدلة يوميا تسهم في الفوائد الصحية الآتية:
• تحسين وظيفة القلب والجهاز التنفسي.
• زيادة قوة العضلات في اليدين والقدمين والبطن والاكتاف
• كما تزيد في متانة وصلابة العظام.
• وتبعد مرض الكآبة وتقي من مرض الزهايمر «الخرف»
• كما تؤدي ممارسة الرياضة إلى تحسين المظهر العام وصحة البشرة خصوصا بشرة الوجه فهي تزيد من كمية الدم والاوكسجين إلى الوجه والرأس.
• تمنح الجسم الاستدارة والتناسق وتبرز مفاتن الانثى وتزيدها جمالا.
• تزيل حالة العصبية عن الشخص الممارس للرياضة والمشي.
• ثبت علميا ان المشي رياضة العظماء.
الشاي الأخضر يحمي القلب ويقوي المناعة
كل انواع الشاي «الأخضر والاسود» مستخرجة من نبات واحد هو «camellia simensis» الفرق في طريقة التجهيز، فالشاي «الاخضر لا يدخل في عملية «التخمير» ولذلك المكونات الجوهرية النشطة لا تتغير في هذا العشب».
واوراق نبات الشاي تستخدم كمشروب اجتماعي وكعلاج ويحتوي الشاي الاخضر على زيوت طيارة وفيتامينات ومعادن ومادة الكافيين.
لكن المادة الاساسية المكونة للشاي الاخضر هي «البولي فينول» وهي المسؤولة عن تحسين الصحة.
فهو يقلل من الكوليسترول الضار ويزيد من الكوليسترول المفيد وكذلك يقلل من التصاق الصفائح الدموية بعضها لبعض وبذلك يحمي من الاصابة بأمراض القلب والشرايين ولكنها دراسات اولية حتى الآن.
ودراسات عديدة تقول ان مادة «البولي فينول» الموجودة في الشاي الاخضر تحمي من الاصابة بالسرطانات.
وكذلك تقول ان مادة «البولي فينول» تنشط جهاز المناعة وبذلك تزيد من مقاومة الجسم للامراض.
هل تعلم؟
نظارات تكنولوجية لمساعدة المكفوفين
تم تصميم العكاز الإلكتروني في الماضي القريب لمساعدة المكفوفين في اكتشاف أقرب الأجسام التي تواجههم.
فمن العكاز تنطلق اشارة ستيزيو سمعية لتحذير المكفوف من توقع العقبات أمامه.
إنما لا يستطيع هذا العكاز التمييز بين الأجسام الثابتة وتلك المتحركة، إذاً فإن له منافع تعادل سيئاته رغم فائدته الـــعملية الحسنة.
في أي حال ثمة طريقة تكنولوجية أخرى لمواجهة طبيعة العقبات والأجسام الموجودة أمام المكفوفين اليوم، ابتكر الخبراء في شركة فيليبس الهولندية للإلكترونيات نظارات مزودة بكاميرا ومعجلات «أجهزة لقياس التعاجل معروفة بالانكليزية باسم Accelerometers» قادرة على التحري عن أي جسم متحرك حول المكفوف.
هذا وتم وصل هذه النظارات إلى كمبيوتر محمول يحمله المكفوف معه خارج المنزل يقوم بمسح أي جسم يدخل في إطار الرؤية المتاحة لهذه النظارات بهدف كشف النقاب إذا ما كان الجسم أمام المكفوف متحركاً أم ثابتاً.
خطر سن اليأس في الرجال
كشفت دراسة فرنسية حديثة ان «سن اليأس» المؤشر لنهاية فترة الخصوبة والقدرة على الإنجاب قد يكون ظاهرا لا تنحصر في النساء فقط، بل من المحتمل أن يمتد أثرها للرجال الذين تتراجع قدرتهم في هذا الاطار بصورة كبيرة مع تجاوزهم العقد الرابع من العمر.
وأشارت الدراسة إلى ان أكثر من 12 ألف حالة كانت تتابعها أخيرا لازواج يعانون العقم أظهرت مسؤولية الرجال عن ضعف الخصوبة في نصف الحالات وأكدت ان تقدم العمر في الزوج قد يؤدي إلى انجاب أطفال عرضة للاصابة بأمراض مزمنة.
وخلصت الدراسة التي نشرت أخيراً إلى ان الاعتقاد الذي كان سائداً لدى الرجال لجهة ان سن اليأس يقتصر على النساء في أواخر العقد الثالث من عمرهن وأوائل العقد الرابع وان الذكور في مأمن من تقدم الزمن بخصوبتهم مفهوم مغلوط علمياً.